口腔大全
精选推荐
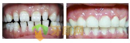
成人牙列稀疏做矫正需要多少钱
来源:牙健网
时间:2023-09-28 10:32:10
责编:护牙顾问
人气:
成人牙列稀疏做矫正需要多少钱?牙齿矫正是目前常见的把牙齿排列整齐的方式,那么成人牙列稀疏做矫正怎么做呢,又需要多少钱?
.jpg)
牙齿矫正的方法有很多种,大致科分为以下几种:牙套矫正,其中牙套矫正有分为传统的、金属的、陶瓷的、隐形的等等,外科手术矫正,这种手术一般是微创手术。
牙齿排列比较复杂,矫正起来难度大的费用固然要高点。而且不同的医院也是导致牙齿矫正收费不一致的主要原因,有的医院引进设备先进、医生经验丰富,自然矫正价格要高于一些小诊所的。
美国最新隐形正畸技术-隐适美隐形矫正,它是现代口腔医学、计算机辅助四维诊断、个性化设计及数字化成型技术的完美结合,是正畸领域的新突破。隐适美隐形矫正由美国隐适美公司指定认证专家,实现全程无痛无创快速疗法,专门矫正各种牙齿排列不整齐,咬合错位等牙齿形态问题,还你一口整齐、坚固耐用的健康原牙。
相关阅读:
为您推荐:
猜您喜欢:
- 抖友真实经历揭晓牙科诊所坑人的套
- 牙髓炎吃了布洛芬睡一觉好了?急性牙
- 真实经历告诉你深龋千万别补牙去做
- 德国树脂补牙材料和美国3M树脂补牙
- 智齿是长在哪个位置,不同智齿长什
- 华西医院种植牙2024收费标准出炉,记
- 牙齿矫正会一直疼痛吗?牙齿矫正就诊
- 美白镶烤瓷牙可能会伤神经
- 做种植牙有哪些优缺点
- 二氧化锆全瓷牙好吗
- 2024上海九院种植牙价格表最新版,收
- 牙齿美容四步走
- 做种植牙有哪些步骤
- 中山大学附属口腔医院2025价格表来
- 种植牙使用年限有多久
- 那些情况下的乳牙需要拔除
- 宝宝有牙渍 易患牙龈炎
- 奥林匹克公园 烤瓷牙哪里比较好
- 茶渍牙怎么治疗
- 做了烤瓷为何刷牙还要出血
- 烤瓷牙的配色统计
- 为什么做烤瓷牙要先磨牙
- 烤瓷牙护理需要注意哪些问题呢?
- 北京烤瓷牙的种类
- 种植牙如何维护可以避免发炎?
- 种一颗牙能用多久
- 儿童牙齿发育异常有哪些
- 关于关注牙齿健康从小做起的问题
- 缺牙、龅牙如何1小时OK?
- 烤瓷补牙有哪些优点
- 【口腔科普】关于牙齿矫正的一些真
- 单颗后牙种植(视频)
- 当牙齿疼痛牙龈出血时应该吃什么药
- 牙齿矫正的最佳时间 牙齿矫正宜早
- 推荐几种美白牙齿的方法
- 过小牙,烤瓷牙来补救
- 成人畸形牙正畸难度大?
- 超声波洁牙后记得要抛光
- 韩国种植体系统Dentium介绍
- 牙齿种植疗程可望大幅缩短
- 托槽掉落怎么补救? 不及时处理牙套
- 补牙会导致洞越来越大吗?
- 种植外科基本技术——外科切口设计
- 牙齿美白为什么推崇冷光美白
- 烤瓷牙护理要注意哪些
- 你的烤瓷牙合格吗?
- 吃糖真的会蛀牙吗?
- 拔牙矫正后会留有牙缝吗?
- 根管治疗在方法
- 北京维尔口腔医院贵不贵,种植
- 哪三种情况需要做烤瓷牙
- 牙龈炎有什么症状 用生理盐水漱口
- 为什么“杀神经”以后需做“牙套”
- 牙龈出血一般说明什么?
- 北大口腔医院2024价格表,收费标准看
- 拔牙后常见不良症状整理
- 活动假牙一般有几种?
- 洗牙对牙齿好不好呢
- 牙周炎不治有什么危害
- 认识烤瓷牙优缺性
- 牙髓失活法操作规范
- 牙医教你如何选择烤瓷牙的材料?镍
- 做种植牙有年龄限制吗 哪些人适合
- 爸妈的观念也不全是对的--老年口腔
- 引起口腔溃疡3大原因 吃什么助缓解
- 畸形牙如何治疗
- 最全的种植牙医患沟通,值得收藏!
- 牙齿矫正效果怎么样?牙齿矫正方法有
- 牙龈炎也分周期性吗?
- 南昌牙科收费标准2025年更新版:种植
- 隐形牙齿矫正需要多长时间?牙齿矫正
- 欢乐谷哪个医院矫正牙齿好
精选阅读:
- 青岛青大口腔医院2025年收费价目表
- 西安西京口腔科医院电话到底怎么找
- 山西医科大学口腔医院种植牙价格20
- 2025北京瑞泰口腔医院全新收费价格
- 山西医科大学口腔医院预约挂号全攻
- 2025沈阳德立联合口腔医院价格表:种
- 太原澳莱口腔医院价格能便宜点吗?20
- 南京茀莱堡口腔2025收费指南:种牙16
- 2025东营博爱口腔价格表+医生介绍
- 微山县铭雅口腔地址+医院简介:门店
- 长治牙科哪家比较不错?有八家被提
- 2025西安天皓口腔医院收费价格表查
- 东莞市人民医院口腔科看牙能报销吗
- 山西医科大学口腔医院矫正牙齿收费
- 兰州种植牙多少钱一颗2023价格表更
- 北京皓丽口腔正规吗?看牙流程全解析
- 北京鹏辉微笑口腔地址在哪?开诊时间
- 四川大学华西口腔医院怎么挂号?分享
- 北京顺义瑞和口腔可靠吗?营业时间和
- 长治牙科医院2025收费价格表:内含种
- 宁波牙博士口腔医院地址在哪里?宁波
- 太原澳莱口腔曹医生简介:从业20余年
- 北京新北口腔口碑怎么样?技术好的医
- 北京艾尔口腔可靠吗?资质和可靠性分